Вернуться в конференцию: СПИД.
Статьи всех конференций.
c
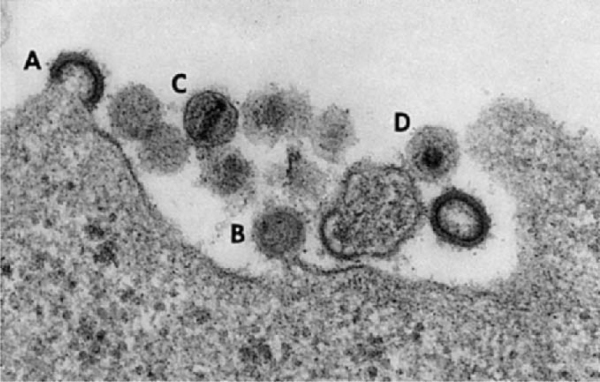
Электронная фотография ВИЧ

c
Структура Вируса ВИЧа

Cecil Medicine 23 издание
Более новая схема Вируса ВИЧа приведена ниже.

Так выглядят слайды Иммуноблотов (Western Blot) на ВИЧ
.jpg)
Интерпретация Результатов Иммуноблота
Отрицательный блот Тест - маркеры отсутствуют
Положительный блот - Присутствуют антитела к двум из приведенных трех белков (протеинов) - gp 120/160, gp 41 или р 24.
Это продукты трех основных генов ВИЧа -gag, pol, and env.
Сомнительный блот - Другое сочетание маркеров. Встречается при сероконверсии, при аутоиммунных заболеваниях, при ВИЧ 2. Обычно перекресная реакция аутоиммунных антител с маркерами р 24 и / или р 55.
Ложно-положительный иммуноблот очень редок. Отсутствие маркера р 31 в 50% свидетельствует о ложно положительном иммуноблоте.
Адаптировано из Харрисона 17 издание и 2007 J Hopkins Medical management of HIV infection/
В то время как иммуноблот является превосходным тестом подтверждающим наличие ВИЧ инфекции он очень плохой инструмент для первичной диагностики ВИЧа. Среди индивидуалов с негативным ИФА и ПЦР у 20-30% иммуноблот демонстрирует одну или несколько положительных полосок, которые хоть и представляют сомнительные результаты за счет перекрестной реактивности, но требуют дополнительных исследований типа р24, ПЦР чтобы убедиться что тут дело не в ранней стадии ВИЧа.
Harrison’s Principles of Internal Medicine 17 издание стр 1166
While the Western blot is an excellent confirmatory test for HIV infection in patients with a positive or indeterminate EIA, it is a poor screening test. Among individuals with a negative EIA and PCR for HIV, 20–30% may show one or more bands on Western blot. While these bands are usually faint and represent cross-reactivity, their presence creates a situation in which other diagnostic modalities (such as DNA PCR, RNA PCR, the bDNA assay, or p24 antigen capture) must be employed to ensure that the bands do not indicate early HIV infection.
Автор статьи: Михаил Гусман